All’ospedale di Rivoli il primo laboratorio di Radiomica per cure personalizzate
Il giorno 8 marzo 2024, presso la Sala congressi del Comune di Rivoli (TO), AITeRTC ha patrocinato l’evento di inaugurazione del primo Laboratorio di Radiomica…
Il giorno 8 marzo 2024, presso la Sala congressi del Comune di Rivoli (TO), AITeRTC ha patrocinato l’evento di inaugurazione del primo Laboratorio di Radiomica…
Si terrà in data 8 marzo 2024 dalle ore 08.30 alle ore 17.00 l’evento dal titolo “Kick off Meeting” organizzato dall’ AslTo3 Radiomics Lab.L’evento sarà…
L’11 Novembre si terrà a Roma l’evento dal titolo “L’impatto dell’IA nell’acquisizione delle competenze avanzate del TSRM” organizzato dalla CdA dei TSRM di Roma e…
Sabato 22 ottobre, nella cornice di Loano (SV), si è svolto il corso multidisciplinare dal titolo Heart & Braind Disease” giunto alla sua III edizione,…
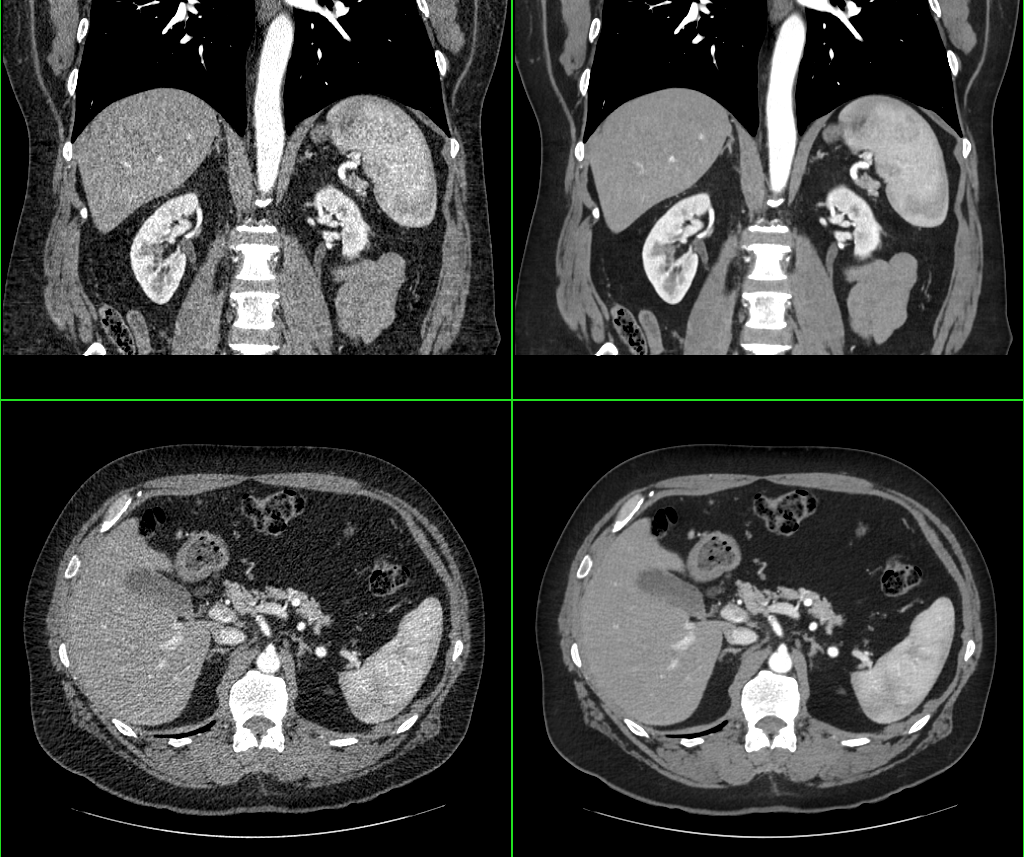
La squadra del Dott. Caruso e del Prof. Laghi è stata tra i primi in Italia ad utilizzare l’algoritmo di intelligenza artificiale (AI) in Tomografia…
Si avvicina la prima data del corso online “AngioTC:non solo un protocollo” Lunedì 20 Settembre alle ore 17.00 verranno trattate le basi hardware e software…